BANNER
A multi-step approach with removable appliances

Course Details

Hours
1 hour towards your annual CPD requirement
CPD development outcome
C
Author
Samuel Wong
Course details

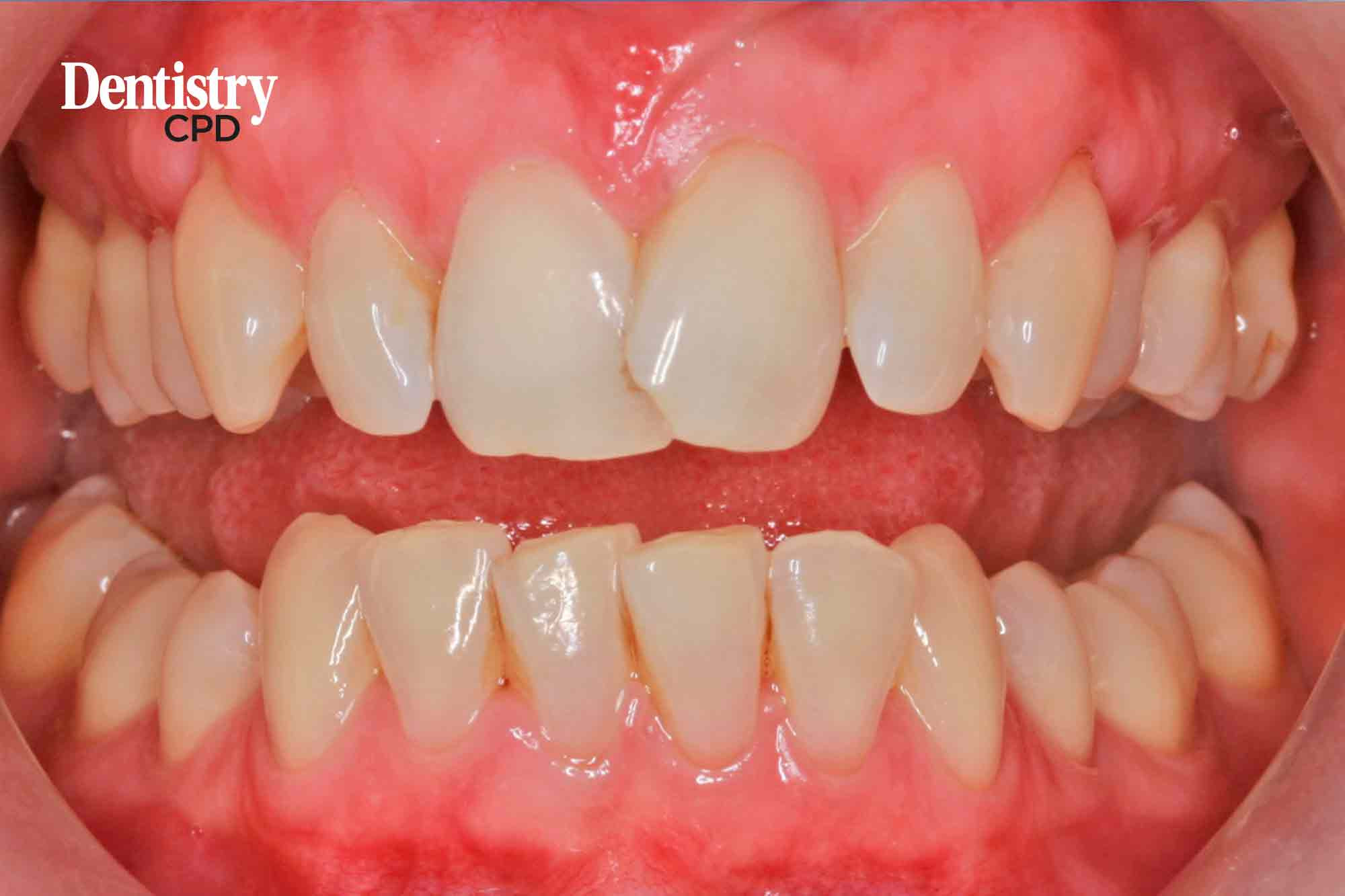
Samuel Wong describes the treatment of moderate crowding using removable appliances.

Aims and objectives

To show how removeable aligners can be used to treat crowding in the upper arch.

Relevant For:

Dentist
Specialist