BANNER
A restorative solution for a missing incisor

Course Details

Hours
1 hour towards your annual CPD requirement
CPD development outcome
C
Author
Thomas Sealey
Course details

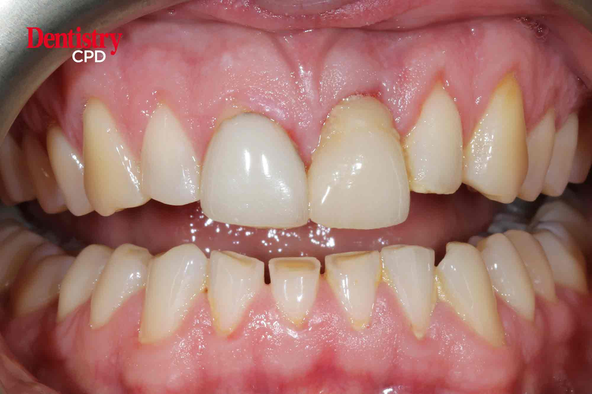
Thomas Sealey presents an aesthetically challenging case to restore a missing upper left central tooth

Aims and objectives

This article aims to describe an unique approach to an aesthetically challenging restorative solution for a missing UL1.

Relevant For:

Dentist
Specialist