BANNER
A tailored approach to fixed orthodontic treatment

Course Details

Hours
1 hour towards your annual CPD requirement
CPD development outcome
C
Author
Eamon O’Reilly
Course details

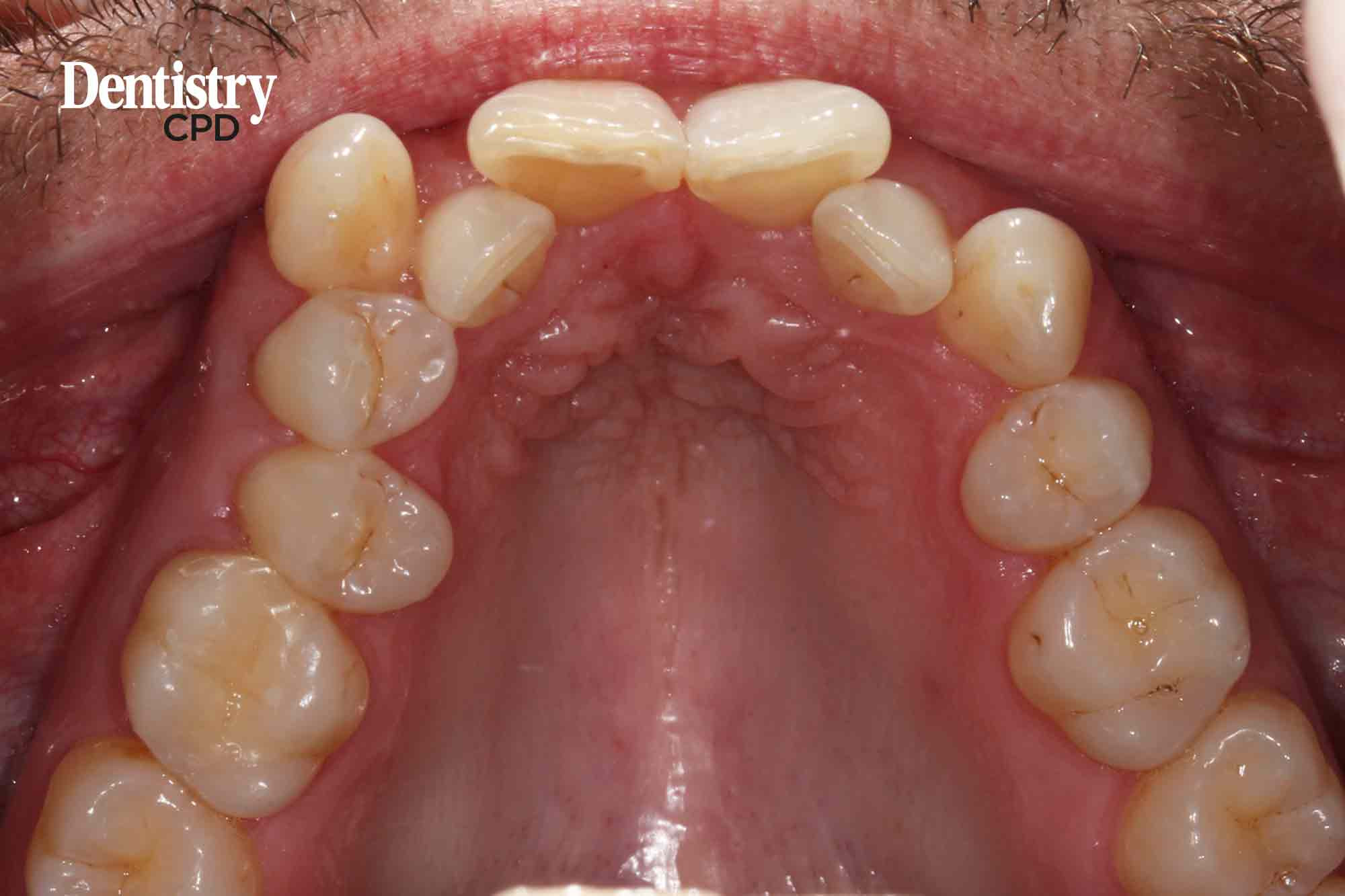
Eamon O’Reilly presents a case addressing complex orthodontic needs without orthognathic surgery.

Aims and objectives

To present a case addressing complex orthodontic needs without orthognathic surgery.

Relevant For:

Dentist
Specialist