BANNER
A tale of a multidisciplinary smile

Course Details

Hours
1 hour towards your annual CPD requirement
CPD development outcome
C
Author
Filipe Amante
Course details

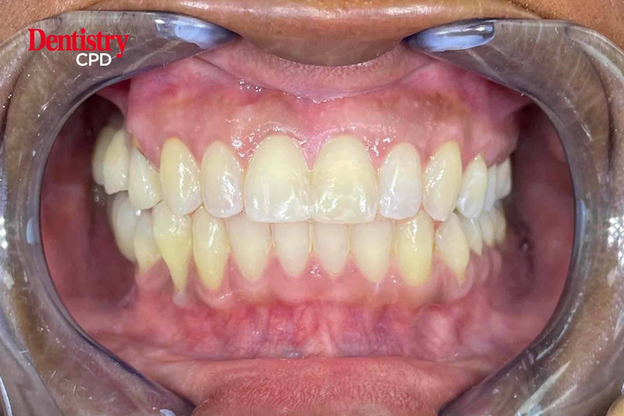
Filipe Amante details a multidisciplinary approach to a patient requiring implant treatment and orthodontics.

Aims and objectives

To present a multidisciplinary approach to restoring a smile. 

Relevant For:

Dentist
Specialist