BANNER
Achieving predictable, controlled results

Course Details

Hours
1 hour towards your annual CPD requirement
CPD development outcome
C
Author
Mark Bladen and Jagprit Hear
First Upload
10/07/2023
Professional interest(s)
Course details

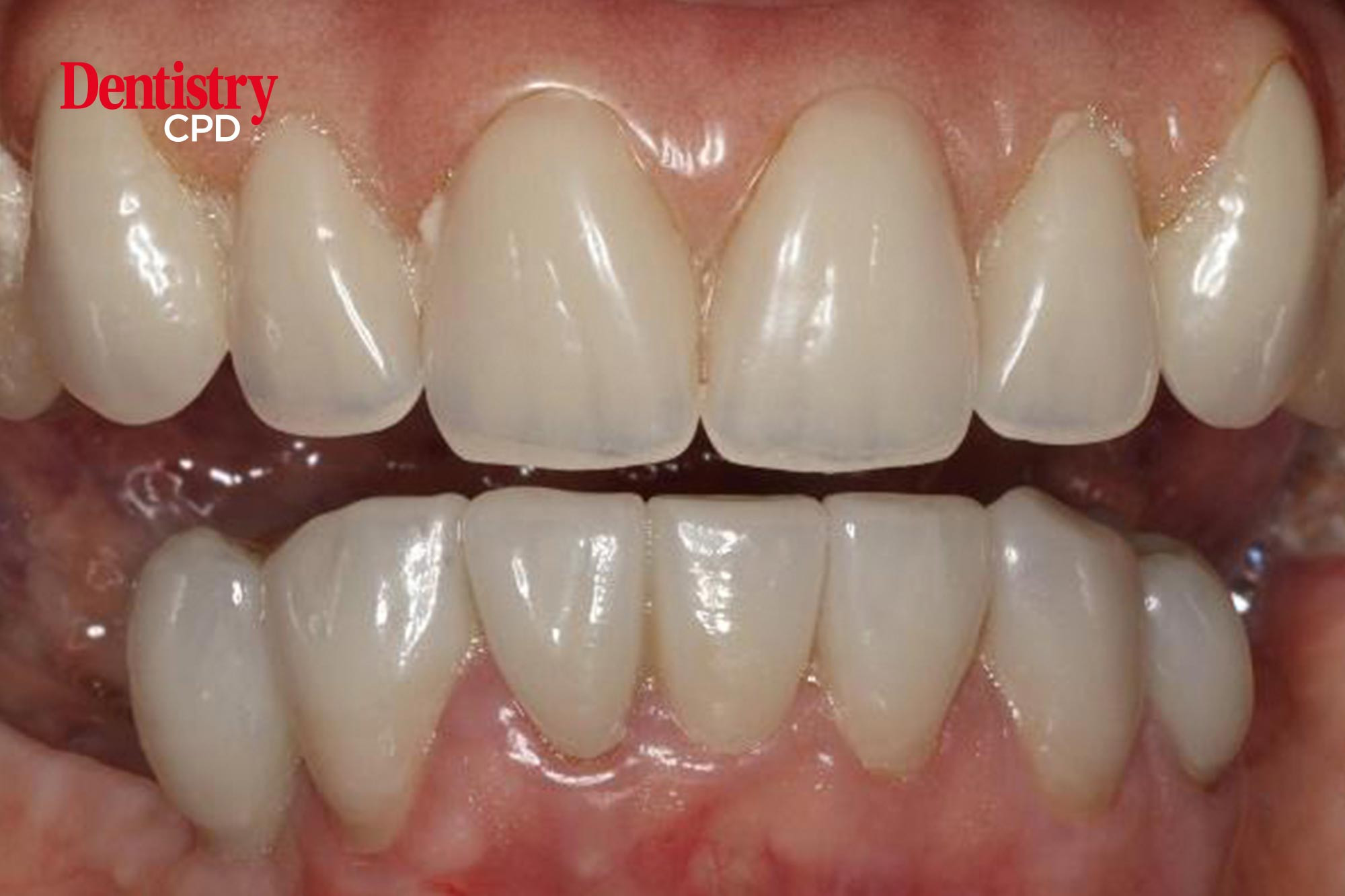
Mark Bladen and Jagprit Hear explain how a close-working relationship between technician and dentist benefits the patient and, when combined with the latest technology, produces perfectly controlled results.

Aims and objectives

To discuss the benefits of technician/dentist communication.

Relevant For:

Clinical dental technician
Dental technician