BANNER
Aesthetic and natural restoration

Course Details

Hours
1 hour towards your annual CPD requirement
CPD development outcome
C
Author
Allan Matthews
First Upload
27/01/2023
Professional interest(s)
Course details

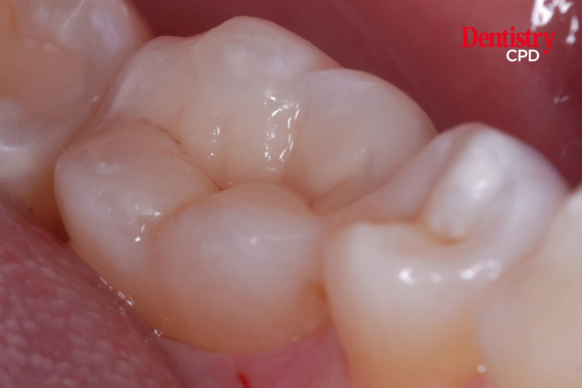
Allan Matthews describes restoring a molar using a versatile and durable nano-hybrid composite, which was endorsed by colleagues.

Aims and objectives

To describe restoring a molar using a versatile and durable nano-hybrid composite.

Relevant For:

Dentist
Dental therapist
Dental hygienist
Orthodontic therapist
Dental nurse
Orthodontic nurse
Specialist