BANNER
Aesthetic challenges in the anterior maxilla

Course Details

Hours
1 hour towards your annual CPD requirement
CPD development outcome
C
Author
David Furze
Course details

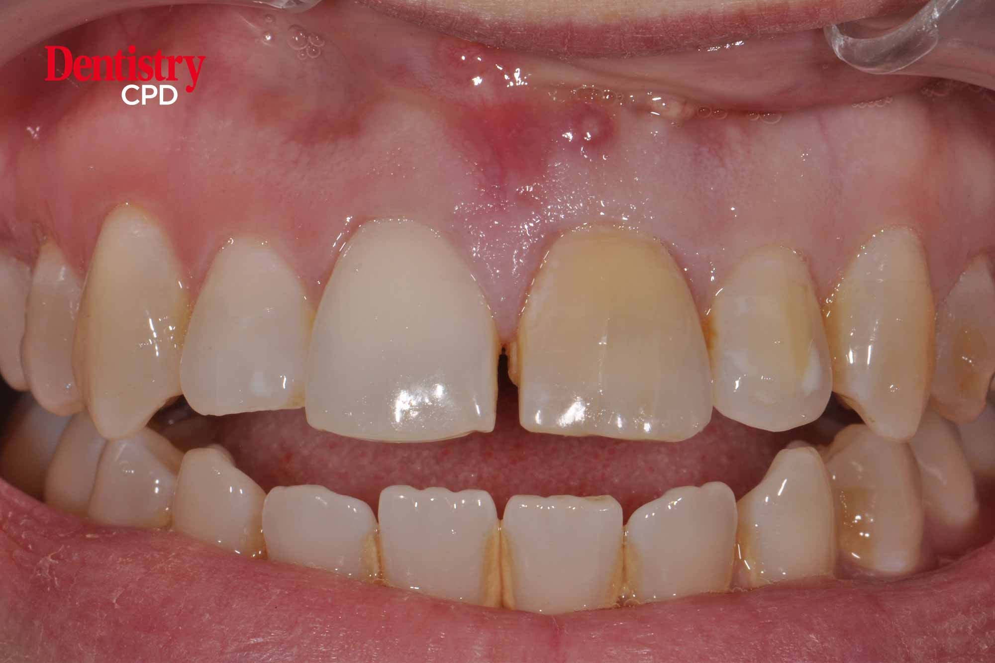
David Furze presents a case where a combination of high patient expectation and multiple aesthetic risk factors lead to complex treatment needs.

Aims and objectives

This article aims to demonstrate the treatment steps and rationales for a case that required careful planning in order to deliver a suitable outcome. 

Relevant For:

Dentist
Specialist