BANNER
Anterior aesthetic fixed ortho

Course Details

Hours
1 hour towards your annual CPD requirement
CPD development outcome
C
Author
Sarah Canavan
First Upload
01/08/2023
Professional interest(s)
Course details

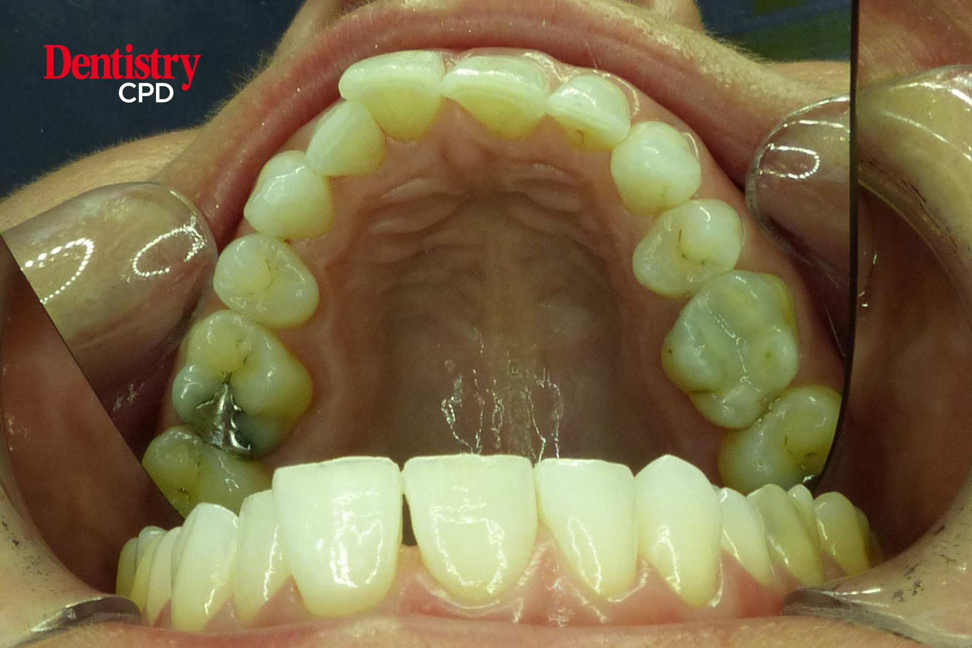
Sarah Canavan shares a fixed braces case that highlights a satisfactory final result despite some setbacks.

Aims and objectives

To discuss an anterior aesthetic fixed ortho case.

Relevant For:

Dentist
Dental therapist
Dental hygienist
Orthodontic therapist
Dental nurse
Orthodontic nurse
Specialist