BANNER
Award-winning single-tooth composite

Course Details

Hours
1 hour towards your annual CPD requirement
CPD development outcome
C
Author
Luke Hutchings
Course details

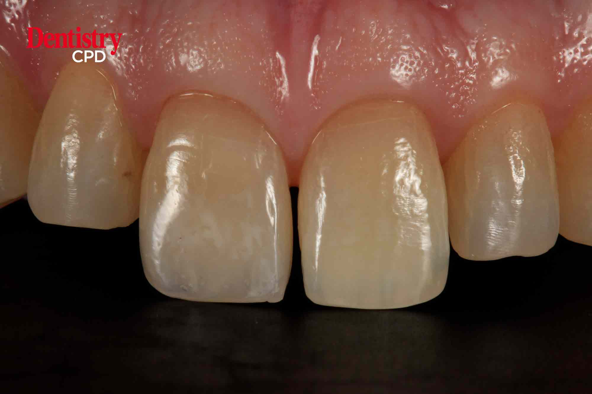
Dentist Luke Hutchings’ award-winning single-tooth composite case from the recent Aesthetic Dentistry Awards.

Relevant For:

Dentist
Specialist