BANNER
Composite smile makeover

Course Details

Hours
1 hour towards your annual CPD requirement
CPD development outcome
C
Author
Linda Greenwall
Course details

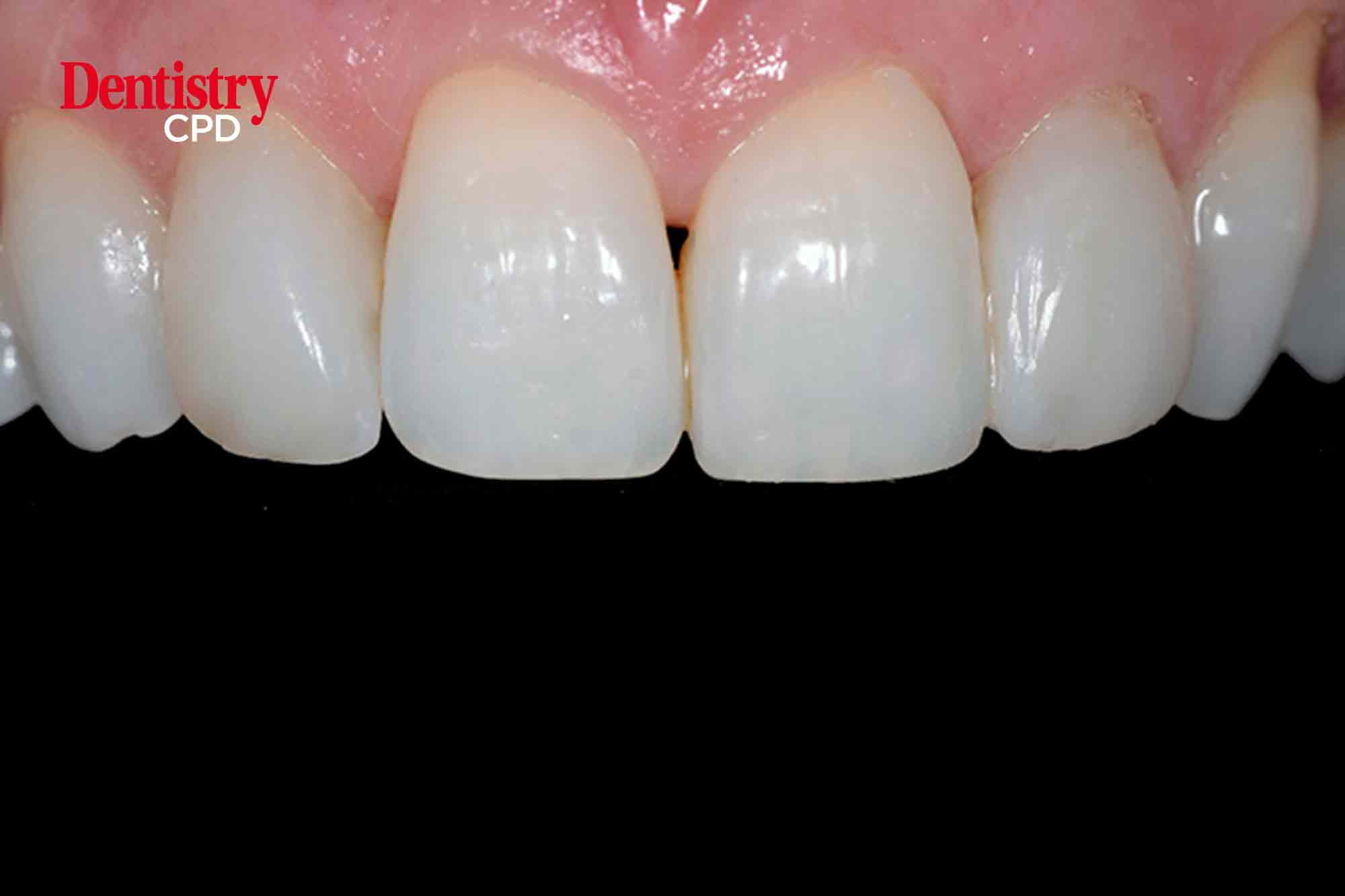
Linda Greenwall presents a case study utilising composite layering and direct filling following tooth whitening

Aims and objectives

To present a case study demonstrating minimally invasive composite bonding after whitening, with a focus on correct shade selection.

Relevant For:

Dentist
Specialist