BANNER
Conservative smile transformation

Course Details

Hours
1 hour towards your annual CPD requirement
CPD development outcome
C
Author
Jessica Wake
Course details

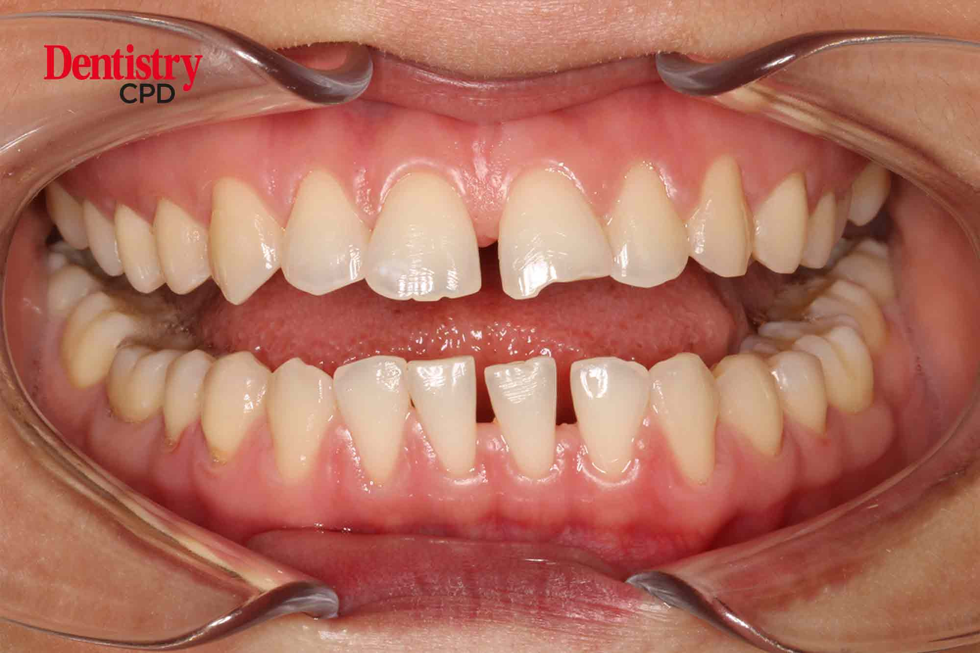
Jessica Wake describes treating a patient with large interdental gaps and incisal edgewear with a minimally invasive alignment, bleaching and bonding protocol 

Aims and objectives

To show a minimally invasive alignment, bleaching and bonding protocol for a patient with large interdental gaps and incisal edgewear.

Relevant For:

Dentist
Dental therapist
Orthodontic nurse
Specialist