BANNER
Enhancing outcomes of non-surgical periodontal therapy with laser technology

Course Details

Hours
1 hour towards your annual CPD requirement
CPD development outcome
C
Author
Beata Knysak
Professional interest(s)
Course details

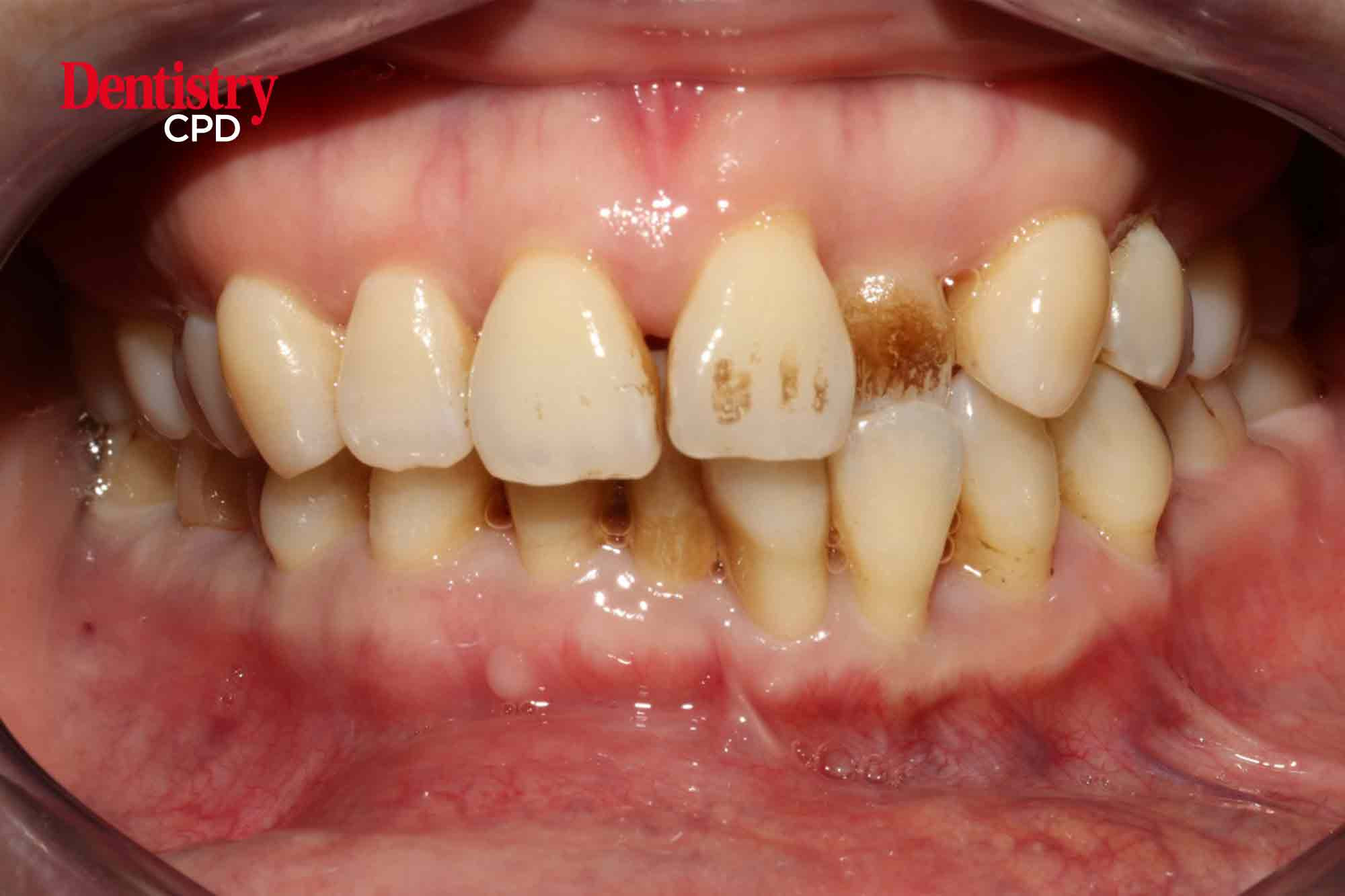
Beata Knysak discusses non-surgical periodontal therapy and how using laser technology can optimise treatment outcomes

Aims and objectives

To explore non-surgical periodontal therapy and laser technology.

Relevant For:

Dentist
Dental therapist
Dental hygienist
Orthodontic therapist
Specialist