BANNER
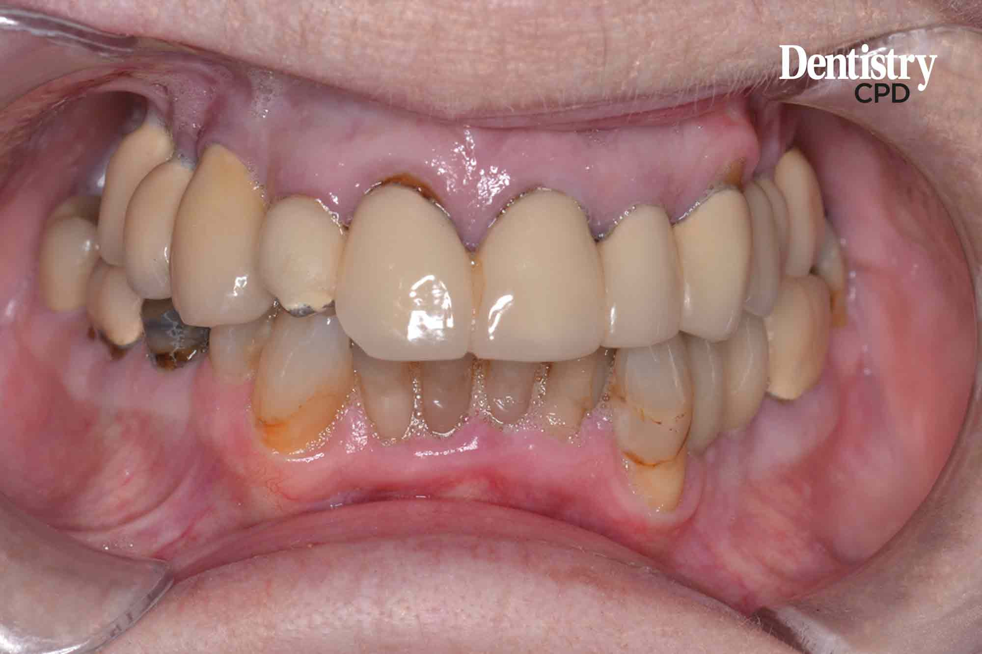
Failing crown replacement

Course Details

Hours
1 hour towards your annual CPD requirement
CPD development outcome
C
Author
Daniel Caga
Course details

Daniel Caga details the replacement of failing anterior porcelain-fused-to-metal linked crowns with individual lithium disilicate crowns.

Aims and objectives

To detail the replacement of failing anterior porcelain-fused-to-metal linked crowns with individual lithium disilicate crowns.

Relevant For:

Dentist
Specialist