BANNER
Immediate placement and restoration in the aesthetic zone

Course Details

Hours
1 hour towards your annual CPD requirement
CPD development outcome
C
Author
Peter Doherty
Course details

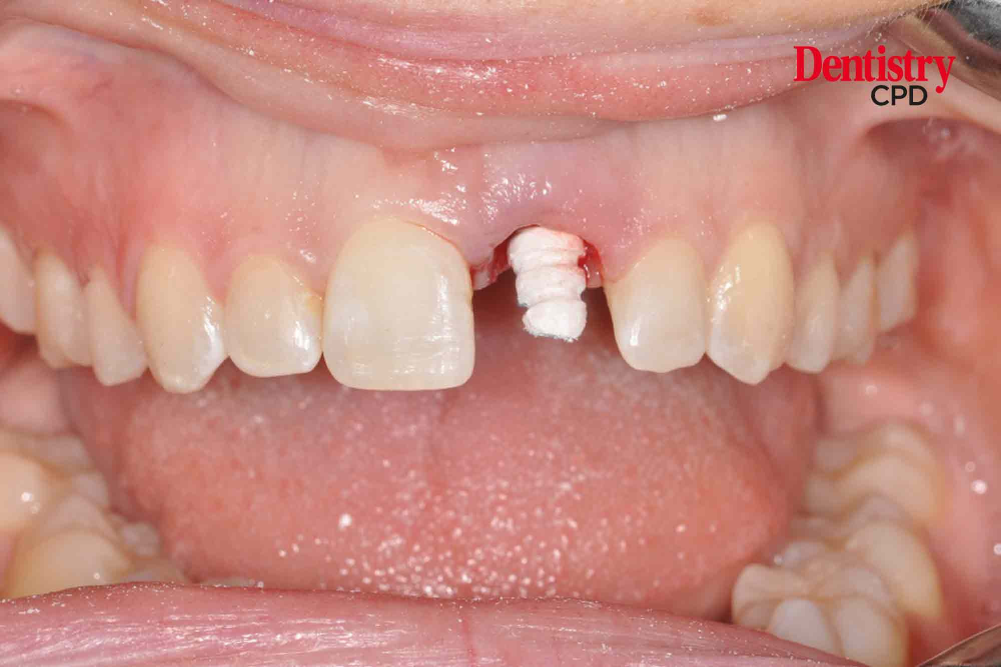
Peter Doherty explores immediate loading and immediate restoration in the aesthetic zone, and presents a review of the literature and case report

Aims and objectives

To review the literature around implant placement with immediate loading and immediate restoration in the aesthetic zone and to present a case report.

Relevant For:

Dentist
Specialist