BANNER
Implants and periodontitis – should we go there?

Course Details

Hours
1 hour towards your annual CPD requirement
CPD development outcome
C
Author
Aly Virani
First Upload
29/07/2021
Course details

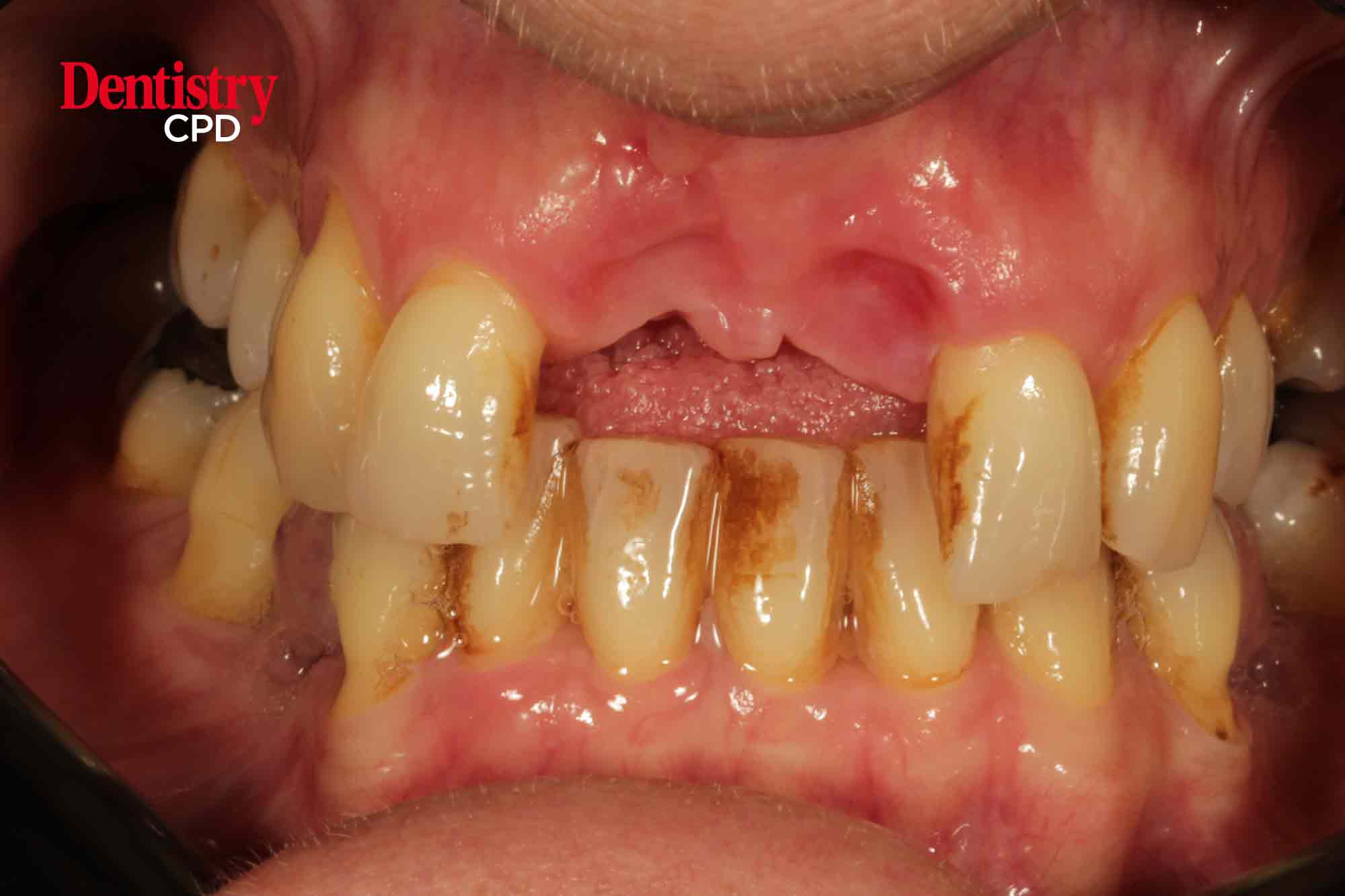
Aly Virani looks at the considerations and possible complications which must be taken into account when planning implant treatment for periodontal patients

Aims and objectives
  • To reflect on the anatomical differences between the peri-implant and periodontal tissues
  • To understand the risk factors and aetiology of peri-implant diseases
  • To discuss the link between periodontal disease susceptibility and dental implant outcomes
  • To be familiar with strategies for avoiding peri-implant disease
  • To consider treatment workflows that could facilitate better long term outcomes
  • To explore a full-arch prosthetic design for periodontally susceptible patients to minimise the chance of complications whilst maximising the quality of life outcome of treatment.

Relevant For:

Dentist
Specialist