BANNER
Improving oral health and smile aesthetics

Course Details

Hours
1 hour towards your annual CPD requirement
CPD development outcome
C
Author
Omair Afzal
First Upload
26/08/2022
Course details

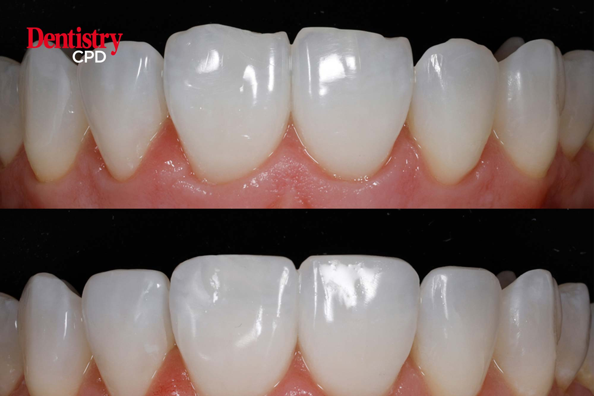
Omair Afzal presents a case utilising removable clear aligners to treat relapsed orthodontic treatment.

Aims and objectives

To discuss utilising removable clear aligners to treat relapsed orthodontic treatment. This article qualifies for one hour of enhanced CPD.

Relevant For:

Dentist
Orthodontic therapist
Orthodontic nurse
Specialist