BANNER
Long-term retention and improved aesthetics

Course Details

Hours
1 hour towards your annual CPD requirement
CPD development outcome
C
Author
Salman Siddiqi
Course details

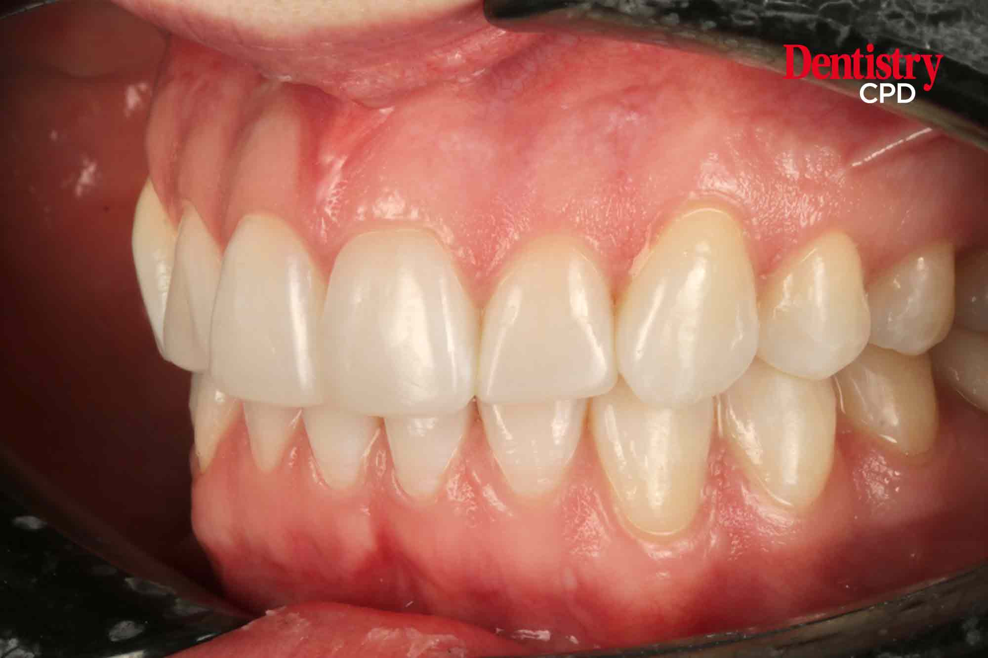
Salman Siddiqi presents a case in which a patient’s need for a minimally invasive approach for her brighter, more even smile was more than satisfied by a programme of aligners, whitening, edge-bonding and direct composite veneers

Aims and objectives

To present an orthodontic restorative case that demonstrates the use of aligners, whitening, edge-bonding and direct composite veneers.

Relevant For:

Dentist
Specialist