Home
Courses
Pricing
Contact Us
Log in
BANNER
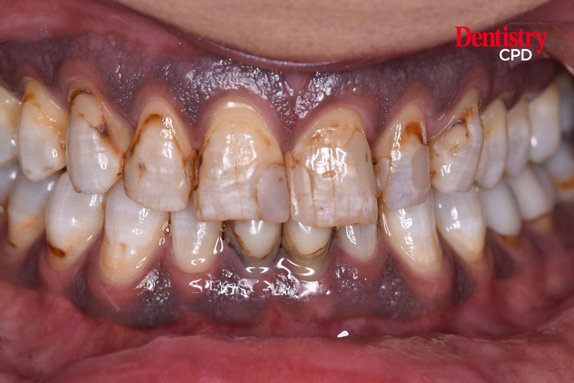
Management of stained fluorotic teeth
Start course
Course Details
Hours
1 hour towards your annual CPD requirement
CPD development outcome
C
Author
Meenakshi Lall
First Upload
06/03/2023
Professional interest(s)
Aesthetics
Aims and objectives
To explore the management of severe fluorosis by combined minimal invasive aesthetic procedure.
Relevant For:
Dentist
Dental therapist
Dental hygienist
Orthodontic therapist
Dental nurse
Orthodontic nurse
Specialist
Back to courses
Start course