BANNER
Minimally invasive endodontics

Course Details

Hours
1 hour towards your annual CPD requirement
CPD development outcome
C
Author
Awaz Sharief
First Upload
01/08/2023
Professional interest(s)
Course details

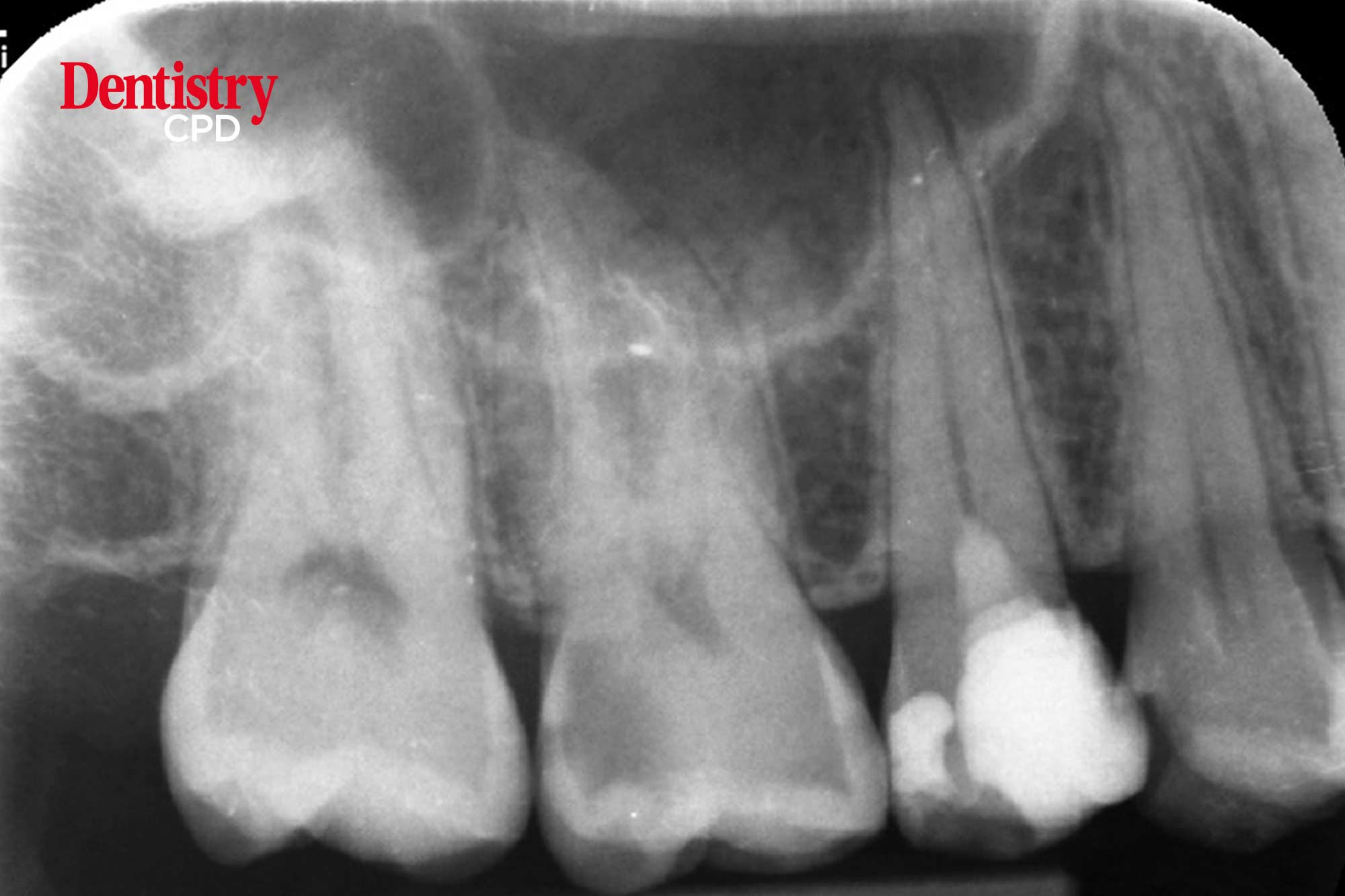
Awaz Sharief discusses the use of pulpotomy to treat irreversible pulpitis.

Aims and objectives

To discuss the use of pulpotomy to treat irreversible pulpitis.

Relevant For:

Dentist
Dental therapist
Dental hygienist
Orthodontic therapist
Dental nurse
Orthodontic nurse
Specialist