BANNER
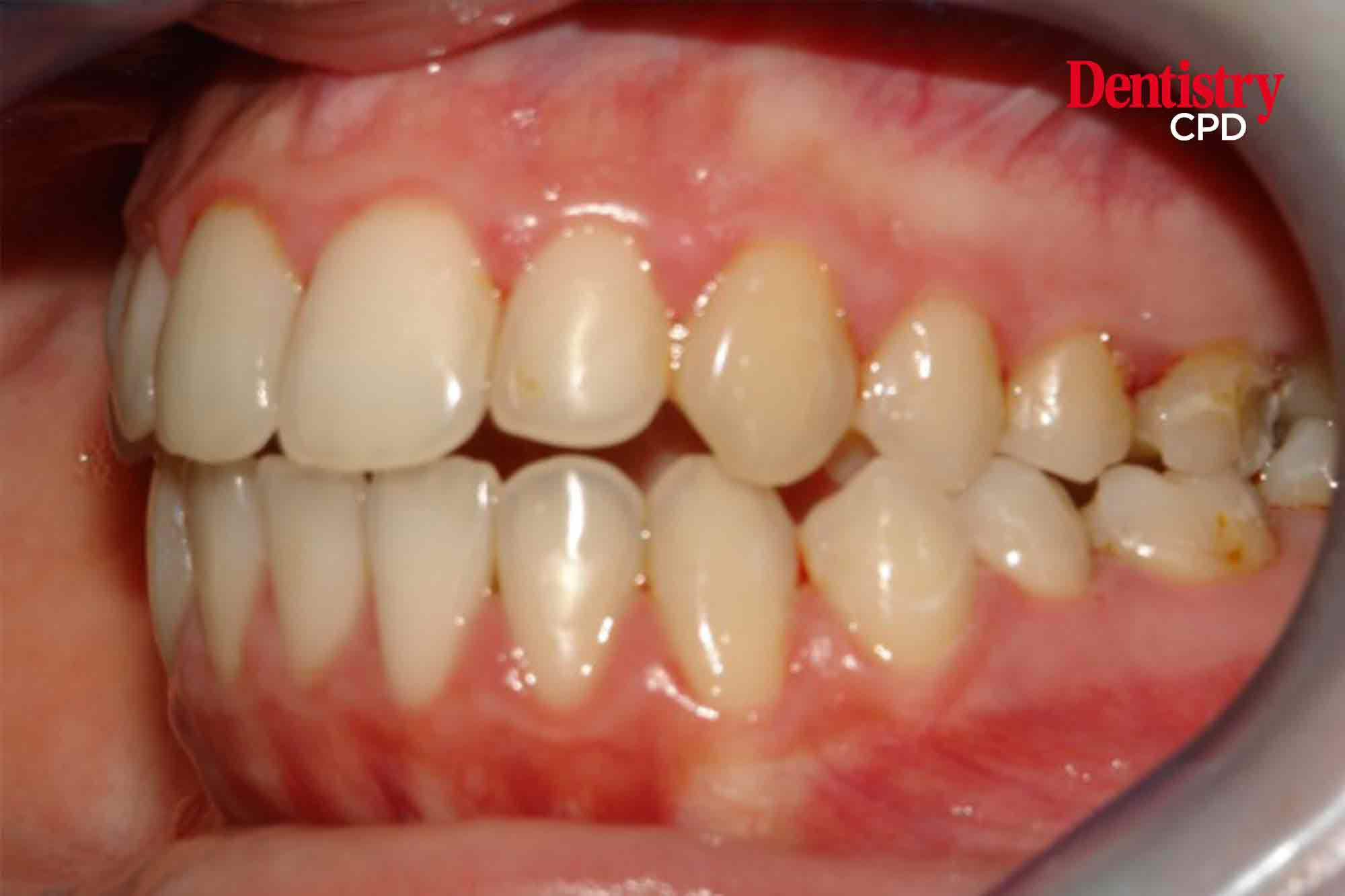
Molar distalization with Invisalign in an adult patient with a skeletal class III, facial asymmetry, posterior crossbite and anterior open bite

Course Details

Hours
1 hour towards your annual CPD requirement
CPD development outcome
C
Author
Montse Galiano
Professional interest(s)
Course details

Dr Montse Galiano presents a case report demonstrating molar distalization with Invisalign in an adult patient with a skeletal class III, facial asymmetry, posterior crossbite and anterior open bite.

Aims and objectives

To demonstrate the capabilities of the Invisalign system when treating complex cases.

Relevant For:

Dentist
Specialist