BANNER
Multidisciplinary case: clear aligner treatment

Course Details

Hours
1 hour towards your annual CPD requirement
CPD development outcome
C
Author
Kunal Rai
First Upload
05/01/2023
Professional interest(s)
Course details

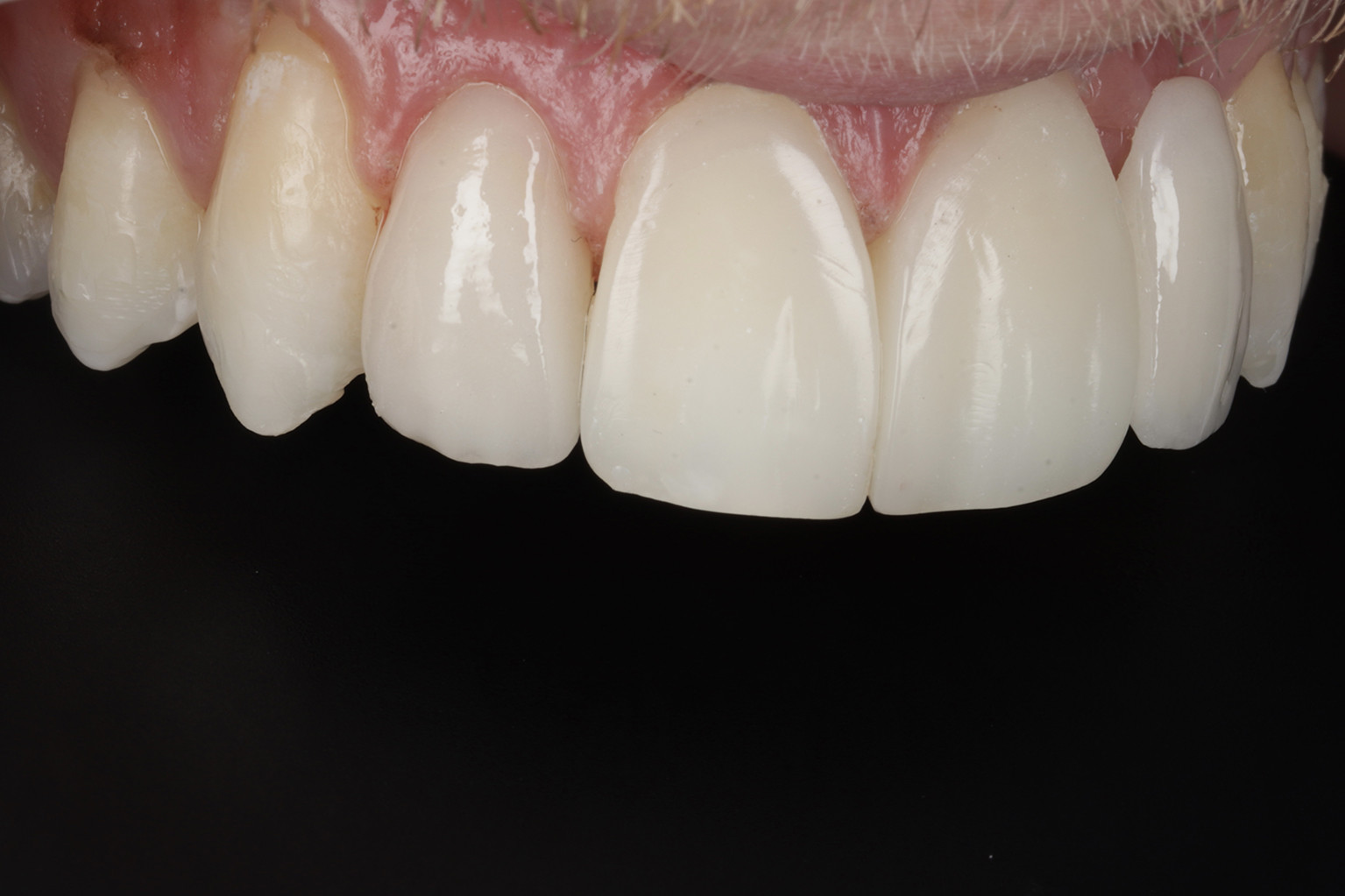
Kunal Rai presents a multidisciplinary case highlighting how careful case selection, assessment and treatment planning can provide an excellent outcome for patients using the Invisalign system.

Aims and objectives

To show how careful case selection, assessment and treatment planning can provide an excellent outcome for patients using the Invisalign system.

Relevant For:

Dentist
Dental therapist
Dental hygienist
Orthodontic therapist
Clinical dental technician
Dental nurse
Dental technician
Orthodontic nurse
Specialist