BANNER
Natural upper anterior transformation

Course Details

Hours
1 hour towards your annual CPD requirement
CPD development outcome
C
Author
Vishaal Shah
Course details

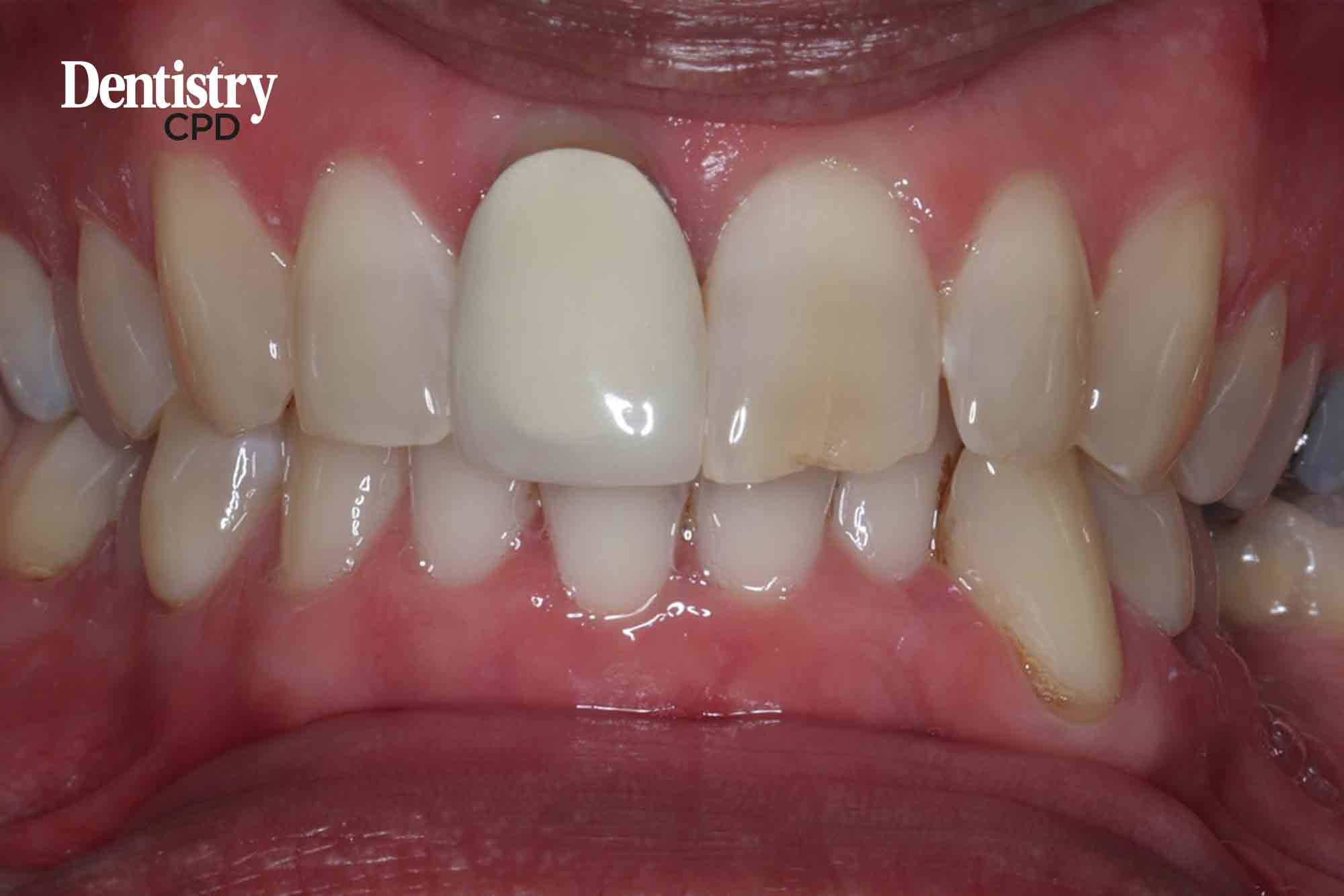
Vishaal Shah describes how he uses the biologically oriented preparation technique and direct composite restoration to repair a patient’s damaged central incisors.

Aims and objectives

To demonstrate a combination treatment using a crown and composite build up to repair a patient’s damaged central incisors.

Relevant For:

Dentist
Specialist