BANNER
CPD Team 2022 - Hygienist: Non-AGP management of fixed retainer hygiene

Course Details

Hours
1 hour towards your annual CPD requirement
CPD development outcome
C
Author
Cat Edney
Course details

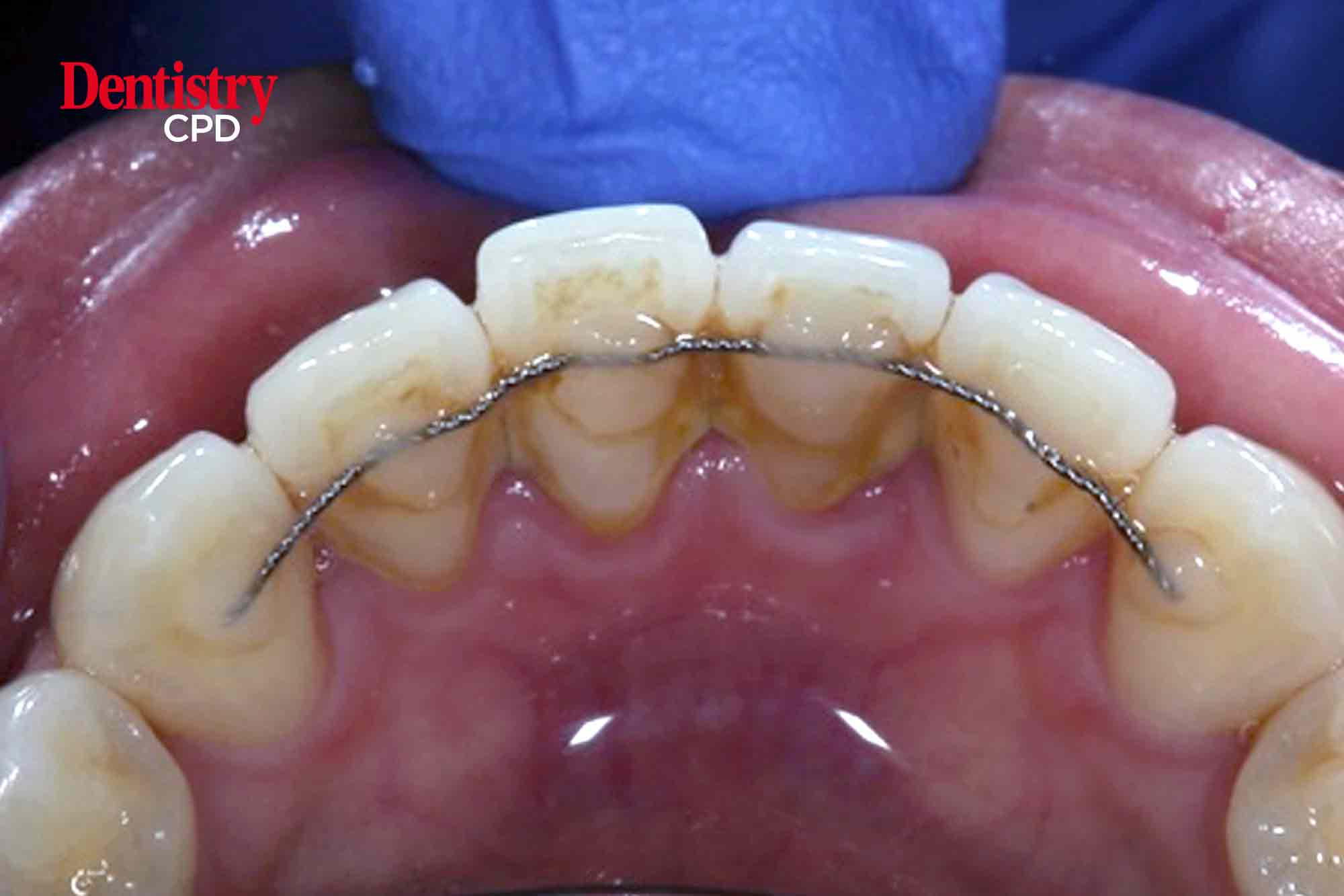
Cat Edney discusses hand scaling maintenance patients, and the challenge posed by navigating fixed appliances that are more irregular in shape, requiring precision instrumentation and care to ensure they do not become unattached.

Aims and objectives

Look at the challenges of hand scaling maintenance patients with fixed appliances.

Relevant For:

Dentist
Dental therapist
Dental hygienist
Orthodontic therapist
Clinical dental technician
Dental nurse
Dental technician
Orthodontic nurse
Specialist