BANNER
Non-extraction treatment of malocclusion

Course Details

Hours
1 hour towards your annual CPD requirement
CPD development outcome
C
Author
Runa Mowla-Copley
Professional interest(s)
Course details

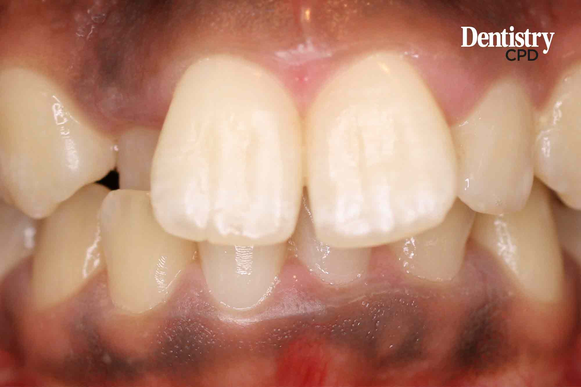
Dr Runa Mowla-Copley presents a case with a high-angle class II division 1 malocclusion treated on a non-extraction basis.

Aims and objectives

To show diagnosis and treatment planning for treating a high-angle class II division 1 malocclusion

Relevant For:

Dentist
Specialist