BANNER
Orthodontic and orthognathic surgery

Course Details

Hours
1 hour towards your annual CPD requirement
CPD development outcome
C
Author
Shivani Patel, Paul Johnson and Raul Costa
First Upload
10/03/2023
Professional interest(s)
Course details

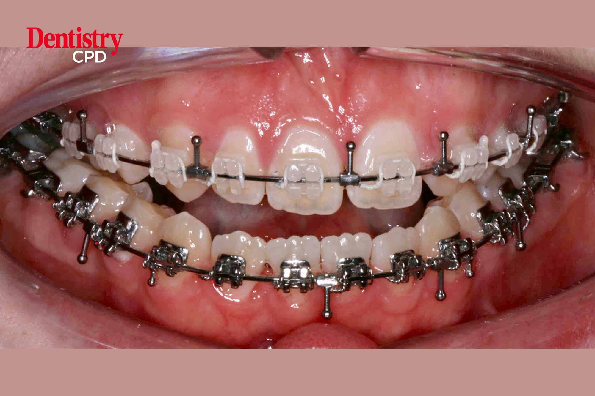
Shivani Patel, Paul Johnson and Raul Costa present their transformative treatment award-winning case from Dentistry Clinical Case Awards 2022

Aims and objectives

To present a case highlighting treatment of a combination of orthodontics and orthognathic surgery with upper ceramic and lower metal, bimaxillary jaw surgery and genioplasty along with the restorative camouflage of the UL3 and UL4.

Relevant For:

Dentist
Dental therapist
Dental hygienist
Orthodontic therapist
Clinical dental technician
Dental nurse
Dental technician
Orthodontic nurse
Specialist