BANNER
Progressive smile design using anterior alignment orthodontics

Course Details

Hours
1 hour towards your annual CPD requirement
CPD development outcome
C
Author
Salman Siddiqi
Course details

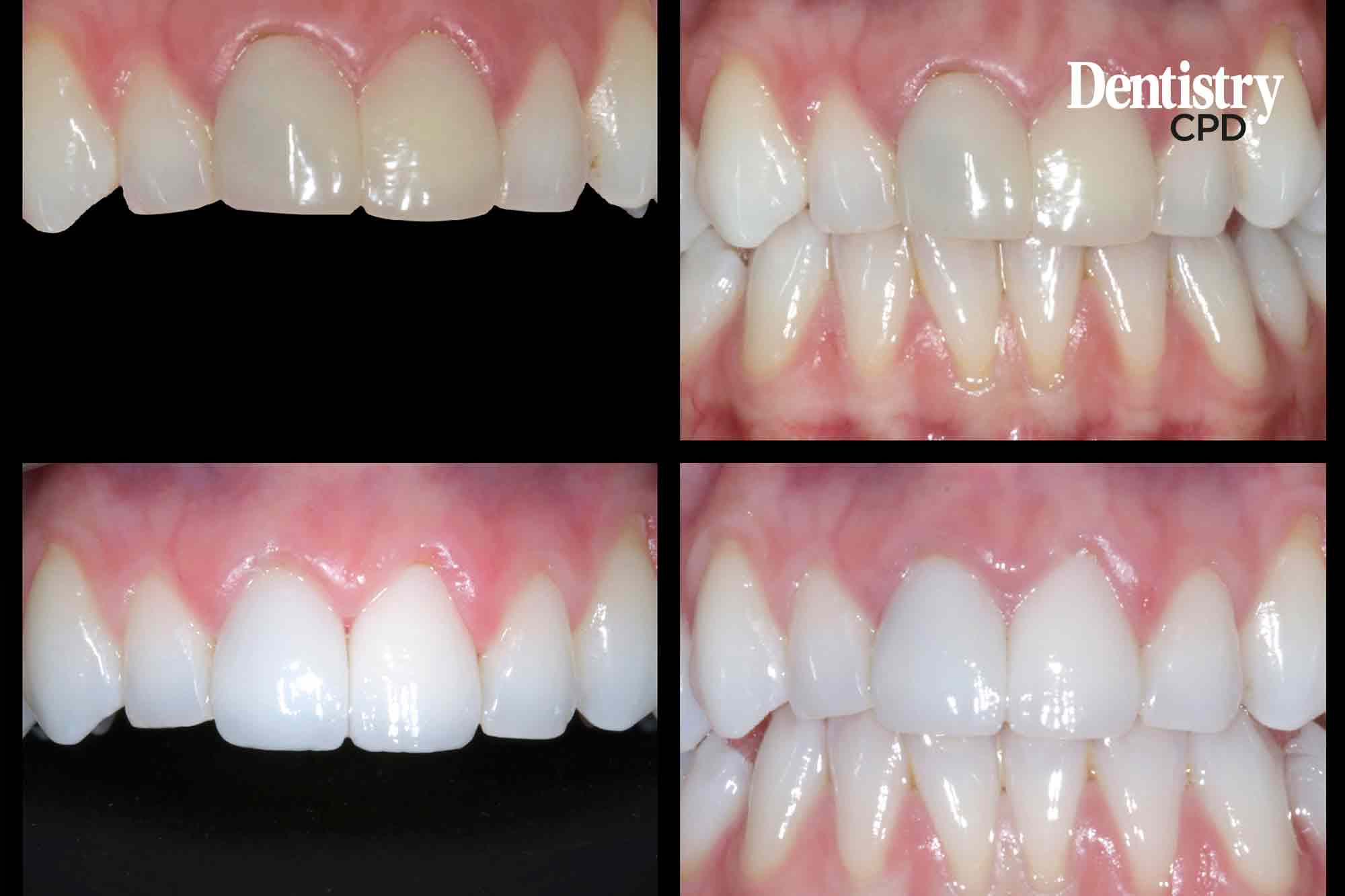
Dr Salman Siddiqi presents an ortho-restorative case study using the ClearSmile Inman Aligner appliance

Aims and objectives

To show a progressive approach to smile design using anterior orthodontics, whitening and bonding.

Relevant For:

Dentist
Specialist