BANNER
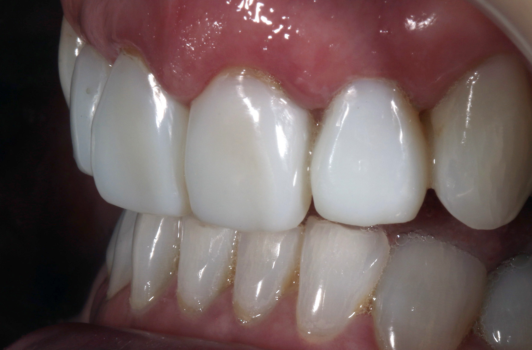
Smooth, high gloss result for composite resin restorations

Course Details

Hours
1 hour towards your annual CPD requirement
CPD development outcome
C
Author
Nadeem Younis
First Upload
04/05/2021
Course details

Nadeem Younis presents a proven step-by-step protocol for finishing and polishing direct composite resin restorations, with beneficial results for aesthetics, oral health and long-term integrity.

Aims and objectives

To present a step-by-step protocol for finishing and polishing direct composite resin restorations.

Relevant For:

Dentist
Dental therapist
Dental hygienist
Orthodontic therapist
Clinical dental technician
Dental nurse
Dental technician
Orthodontic nurse
Specialist