BANNER
Cad/Cam surgical and prosthetic rehabilitation

Course Details

Hours
1 hour towards your annual CPD requirement
CPD development outcome
C
Author
Matteo Basso, Maria Giulia Pulcini, Carlo Vitelli, Arturo Dian, Katherine Radaelli and Clotilde Austoni
Course details

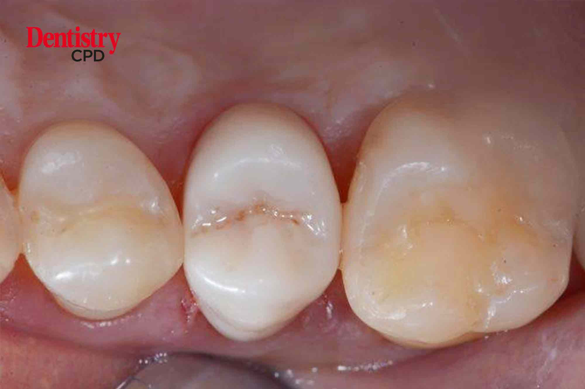
Matteo Basso, Maria Giulia Pulcini, Carlo Vitelli, Arturo Dian, Katherine Radaelli and Clotilde Austoni demonstrate a single tooth lithium disilicate restoration, combining endodontic, surgical and prosthetic therapies

Aims and objectives

To explain how an interdisciplinary approach can benefit from a digital workflow. 

Relevant For:

Dentist
Specialist