BANNER

Course Details

Hours
1 hour towards your annual CPD requirement
CPD development outcome
C
Author
Kreena Patel
Professional interest(s)
Course details

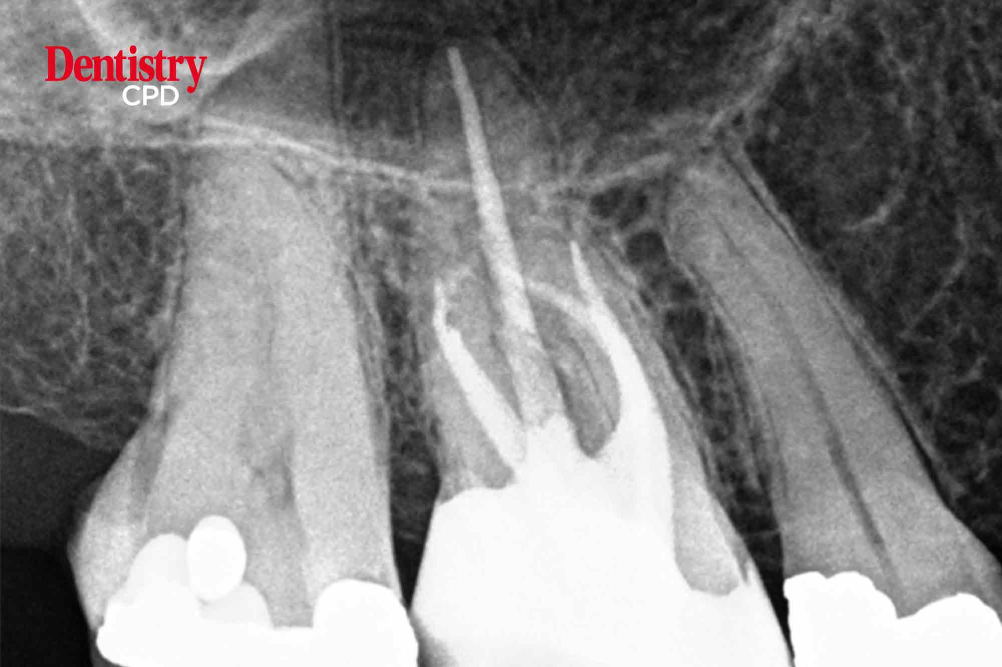
The MB2 or ‘fourth’ canal has a quite the reputation for being challenging to locate and negotiate. Kreena Patel discusses facts about the MB2 and clinical tips for successfully managing it

Aims and objectives

To discuss facts about the MB2 and clinical tips for successfully managing it.

Relevant For:

Dentist
Specialist