BANNER
Video: Treating 'gummy smiles' - the basic principles of aesthetic crown lengthening

Course Details

Hours
1 hour towards your annual CPD requirement
CPD development outcome
C
Author
Hiten Halai
Professional interest(s)
Course details

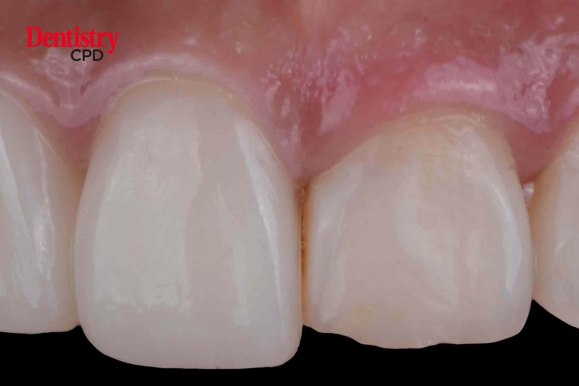
This on-demand webinar will cover the basic principles and theory that underpins aesthetic crown lengthening surgery.

Aims and objectives
  • Describe the periodontal apparatus and the ‘biologic’ width
  • Understand pink aesthetics and the indices use to assess this
  • Be aware of the indications and contra-indications for crown lengthening.
  • Identify ‘Altered Passive Eruption’ and its management
  • Be familiar with the evidence behind crown lengthening surgery.

Relevant For:

Dentist
Specialist