BANNER
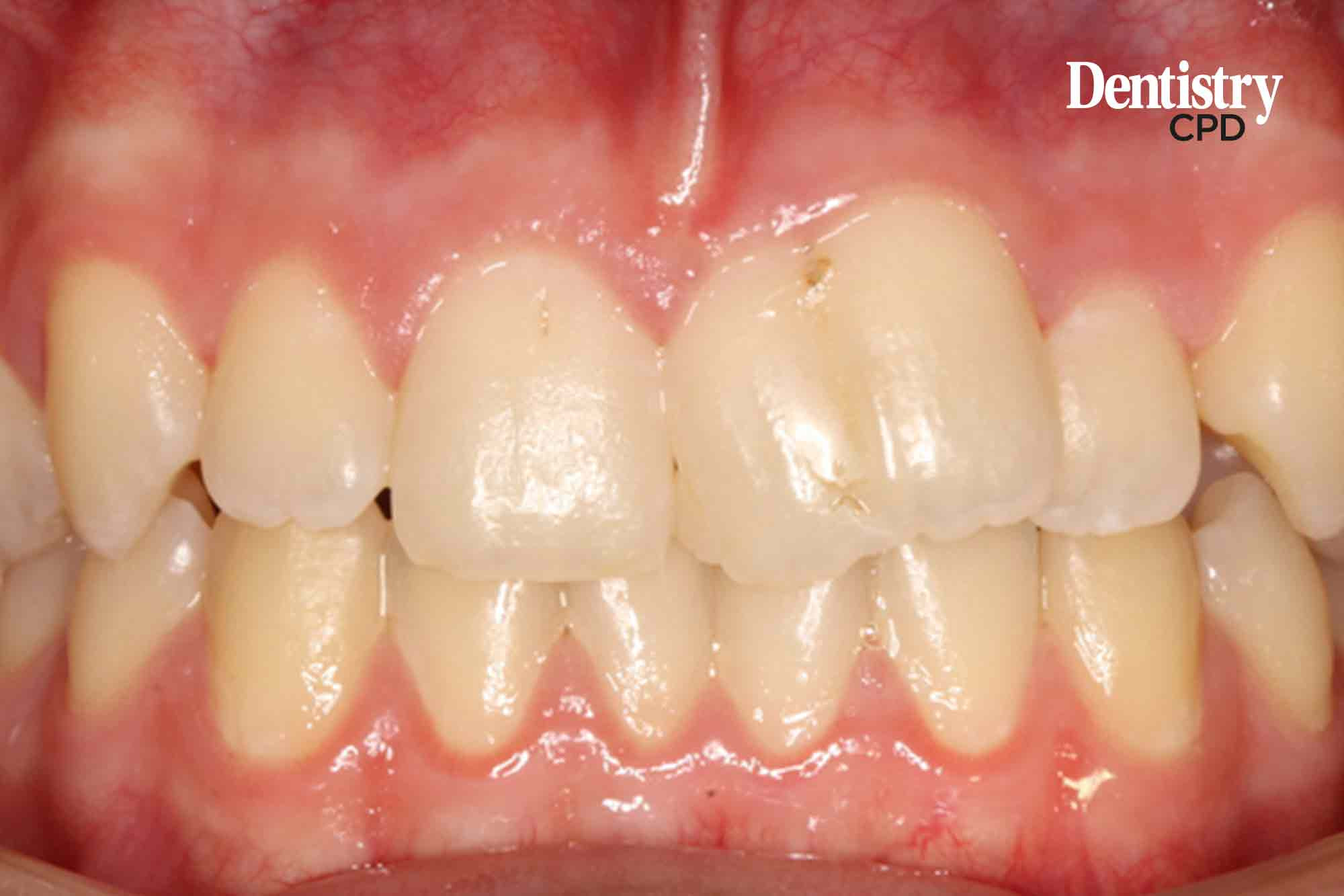
Treatment of a single macrodont

Course Details

Hours
1 hour towards your annual CPD requirement
CPD development outcome
C
Author
Nishant Yadev, Colin Campbell and Andrew Flett
Course details

Nishant Yadev, Colin Campbell and Andrew Flett highlight a multidisciplinary approach to correcting the appearance of a patient with an isolated macrodont.

Aims and objectives

To explore macrodontia.

Relevant For:

Dentist
Specialist