BANNER
Treatment of white spot lesions

Course Details

Hours
1 hour towards your annual CPD requirement
CPD development outcome
C
Author
Victoria Sampson
Course details

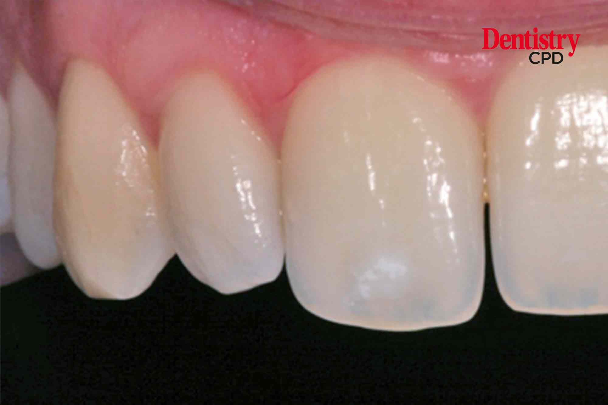
Victoria Sampson uses resin infiltration as a non-invasive treatment alternative for traumatic hypomineralised white spot lesions.

Aims and objectives

To demonstrate the use of resin infiltration as a non-invasive treatment alternative for traumatic hypomineralised white spot lesions.

Relevant For:

Dentist
Dental therapist
Specialist