BANNER
Understanding high translucency zirconia

Course Details

Hours
1 hour towards your annual CPD requirement
CPD development outcome
C
Author
Kage Koh
First Upload
06/04/2021
Professional interest(s)
Course details

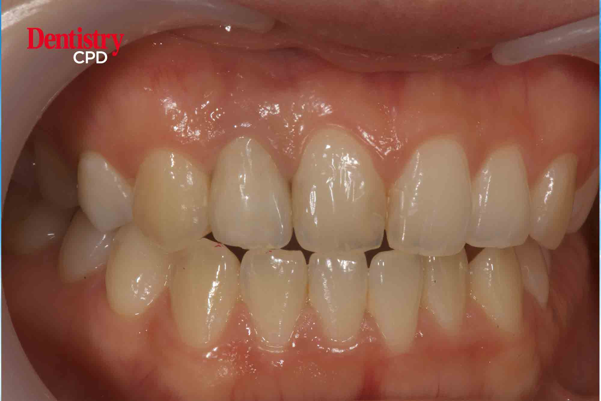
Kage Koh offers a case-led masterclass in creating perfect translucency.

Aims and objectives

The aim of this article is remind technicians that clinicians must be aware of the characteristics of the products supplied by each manufacturer.

Relevant For:

Clinical dental technician
Dental technician