BANNER
Unilateral Class II treatment using fixed orthodontic appliances with open coil spring, sliding hook and light Class II elastics

Course Details

Hours
1 hour towards your annual CPD requirement
CPD development outcome
C
Author
Marnus Coetsee Jr. & Marius Coetsee Sr,
First Upload
22/09/2021
Professional interest(s)
Course details

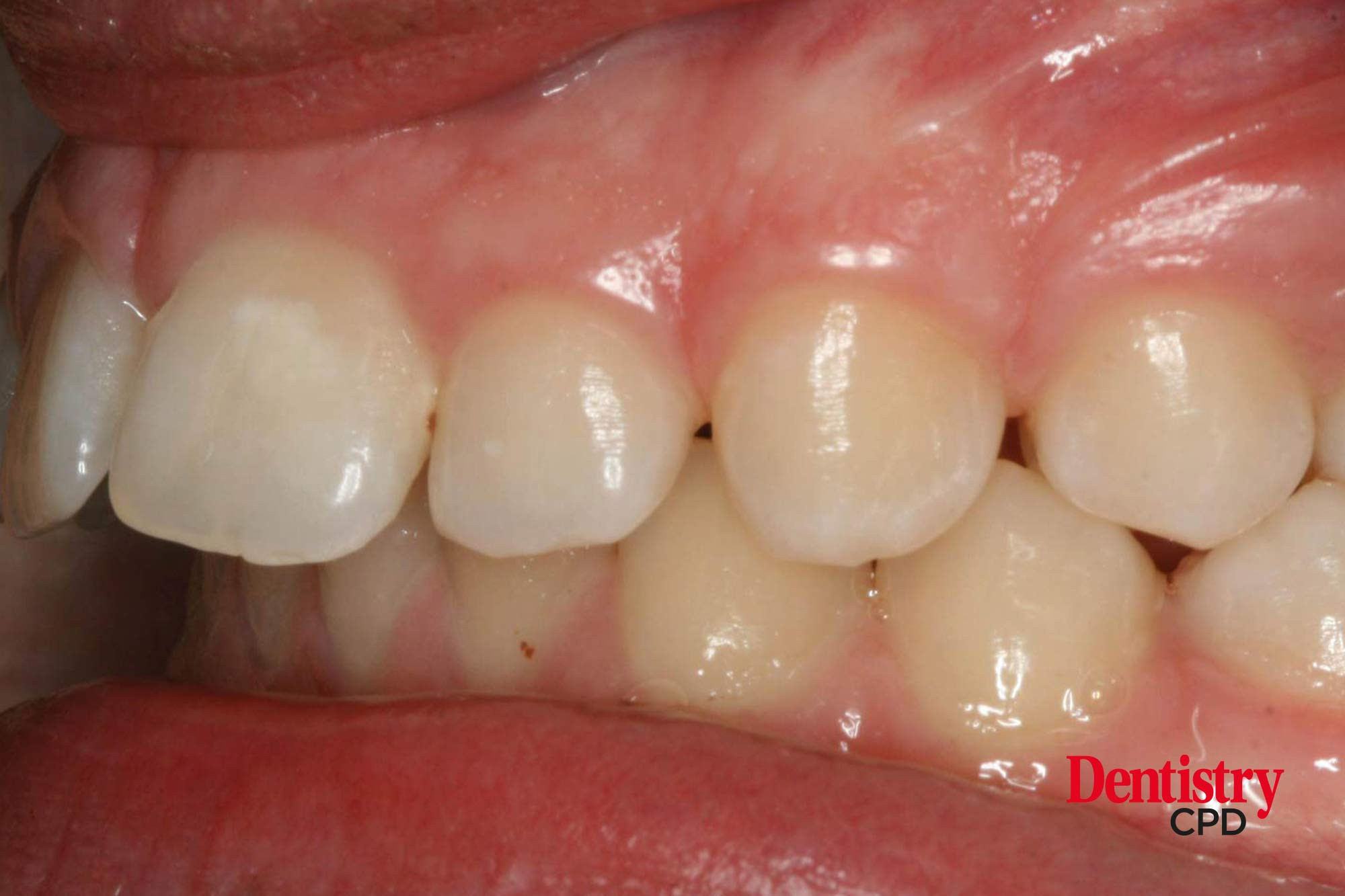
In this case report, Marnus Coetsee Jr. & Marius Coetsee Sr describe the management of a 13-year-old female patient who presented with a unilateral Class II malocclusion

Aims and objectives

To show a how various appliances and approaches have been designed to accomplish molar distalisation.

 

Relevant For:

Dentist
Specialist