BANNER
Utilising the anatomy in molar root canal retreatment

Course Details

Hours
1 hour towards your annual CPD requirement
CPD development outcome
C
Author
John Rhodes
Professional interest(s)
Course details

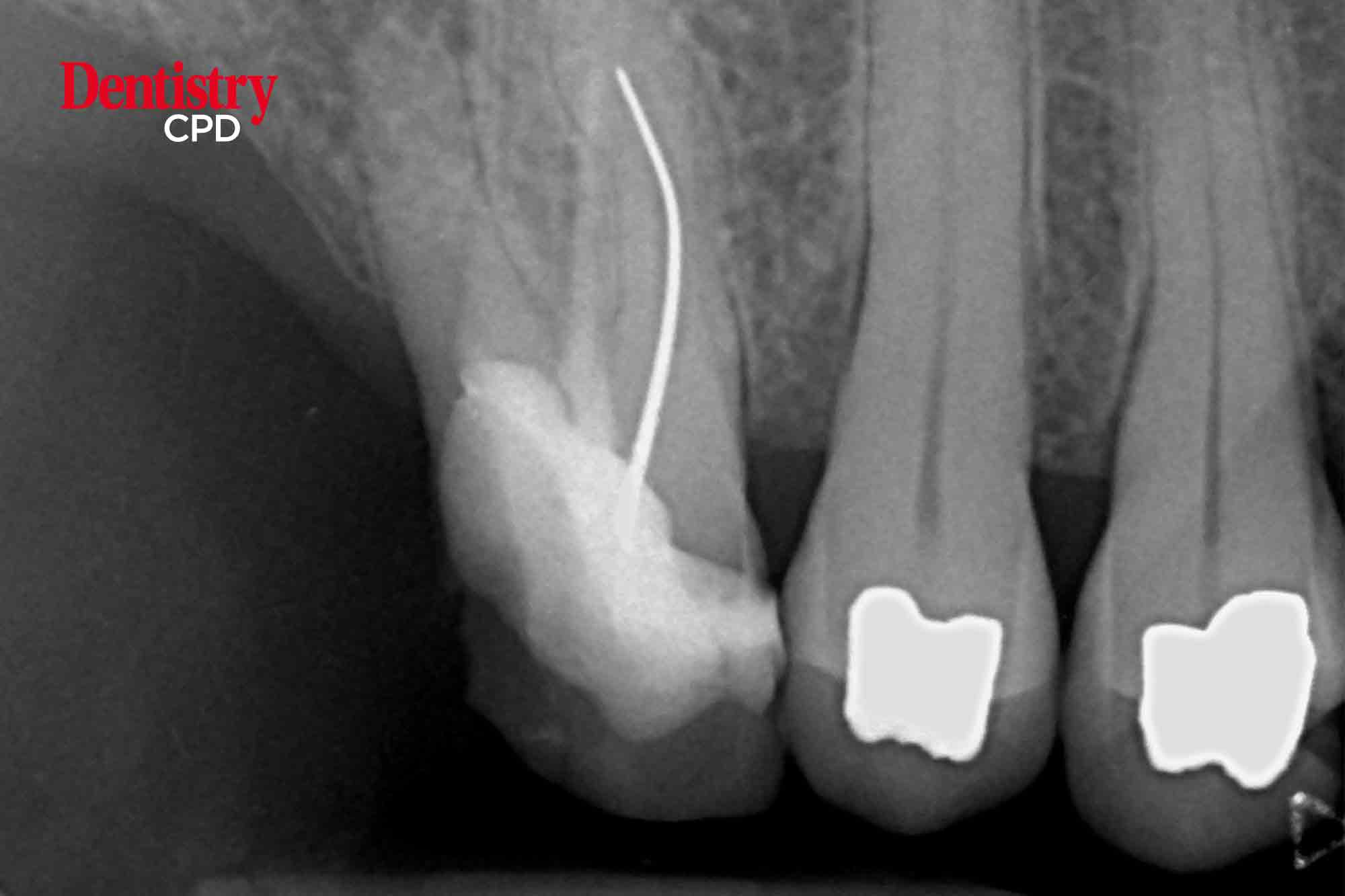
John Rhodes presents another practical and problem-solving solution in endodontics. This time he looks at how root canal morphology can be used advantageously during non-surgical root canal retreatment

Aims and objectives

To investigate how root canal morphology can be used advantageously during non-surgical root canal retreatment.

Relevant For:

Dentist
Specialist