BANNER
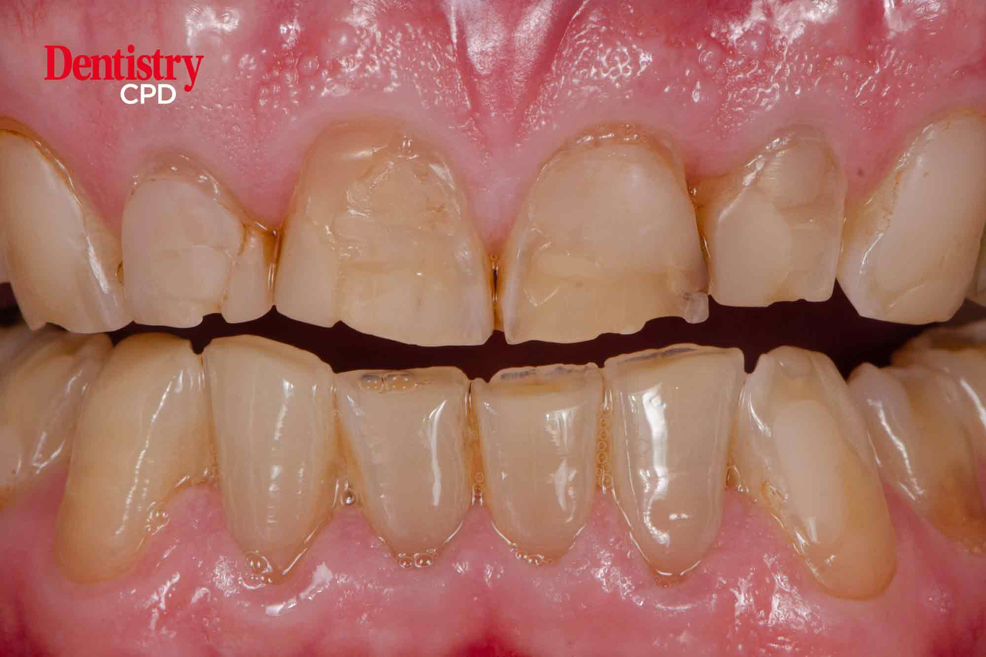
Video: Contemporary solutions for the worn dentition

Course Details

Hours
1 hour towards your annual CPD requirement
CPD development outcome
C
Author
John Cranham and Ian Buckle
Course details

Dr John Cranham and Dr Ian Buckle - Contemporary solutions for the worn dentition

Aims and objectives

Provide the attender with up-to-date solutions for handling patients presenting with worn dentition.

Tips to help the attender differentiate between the different types of wear.

Relevant For:

Dentist
Specialist