BANNER
Whitening non-vital teeth

Course Details

Hours
1 hour towards your annual CPD requirement
CPD development outcome
C
Author
Kreena Patel
First Upload
28/09/2021
Course details

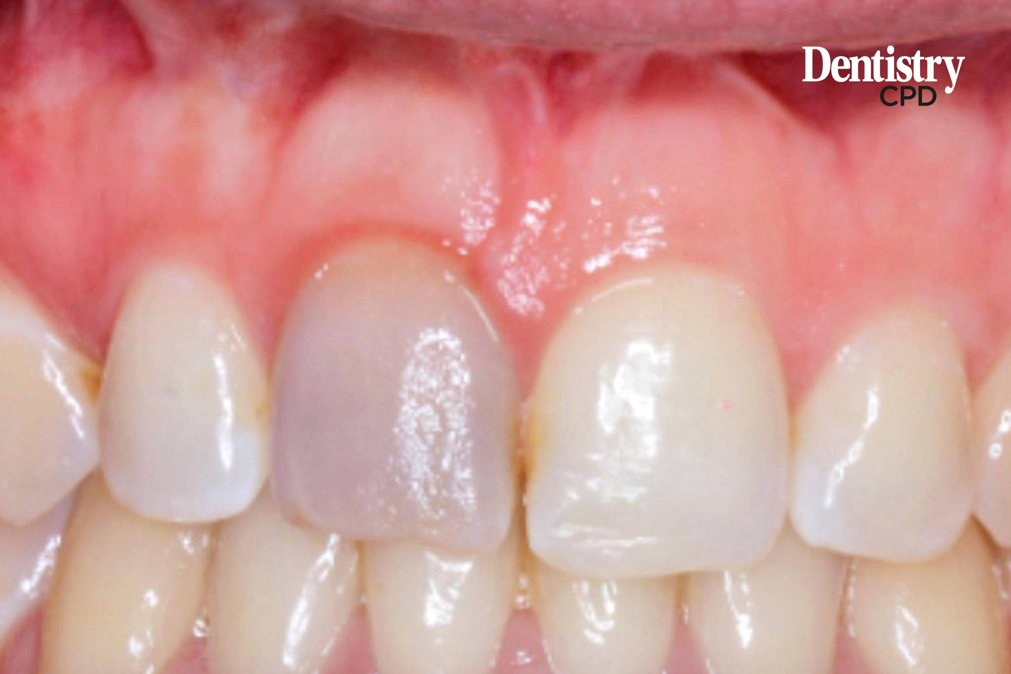
Kreena Patel describes the process of non-vital tooth whitening, its benefits and risks and covers any problems you might encounter

Aims and objectives

To discuss non-vital tooth whitening – from the benefits and risks to troubleshooting common issues.

Relevant For:

Dentist
Dental therapist
Dental hygienist
Orthodontic therapist
Clinical dental technician
Dental nurse
Dental technician
Orthodontic nurse
Specialist